◆ホワイトニングとは

歯は生えたときは誰でも白く透き通っていますが、月日の経過とともに様々な要因で、その白さは失われていきます。
歯科医院で行うホワイトニングは、歯の表面に付着した色素のみを落とすのではなく、歯自体を白くしていくものです。歯の表面を溶かしてしまったり傷つけることなく、歯の中にある色素を分解して歯の明るさを上げていくものですので、安全に安心して効果を実感して頂く事が可能です。

◆ホワイトニングはこんな方におすすめ!








ホワイトニングで人目を気にせず心から笑顔に!!

ホワイトニングが受けられない方
※必ず事前にご確認下さい。
・妊娠中の方、授乳中の方
・大きな虫歯や歯周病がある方
・14歳未満の子ども
(歯の成長に影響を及ぼすことがあるため)
・無カタラーゼ症(ホワイトニングの主要薬剤である過酸化水素を、分解して無毒化する酵素⦅カタラーゼ⦆が先天的に欠損している遺伝性疾患)の方
・光線過敏症の方

ホワイトニングの流れ
STEP1: 施術前の歯の写真を撮影
ホワイトニングを始める前に、施術前の写真を撮影する事で、施術後にご自身で確認をして頂くことが出来るようにしています。

STEP2: 周囲粘膜の保護
周囲粘膜に薬液がつかないように保護していきます。

STEP3: ホワイトニング剤の塗布
専用のホワイトニング剤を塗布していきます。

STEP4: 専用のライト照射
ジェルを塗り終わったら、専用のライトで光を6分間照射します。

STEP5: ジェル塗布・照射を繰り返す
ジェルを塗り、再び専用のライトで光を6分間照射するのを合計3回繰り返します。

STEP6: 施術後の歯の写真を撮影
ホワイトニング後に写真撮影を行い、施術前の写真と比較する事で、ホワイトニングの効果をご自身でご確認して頂きます。

STEP7: ホワイトニング終了後
施術後、24時間はコーヒー、紅茶、ワインなどの着色の強いものは避けて下さい。

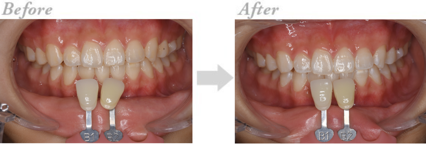
◆ホワイトニングの実例 CASE1

◆ホワイトニングの実例 CASE2

◆ホワイトニングの実例 CASE3

◆ウォーキングブリーチの実例

◆ガムピーリングの実例

料金表
税込み
オフィスホワイトニング | 27,500円 |
ホームホワイトニング | 27,500円 |
デュアルホワイトニング | 47,500円 |
ウォーキングブリーチ(1歯あたり) | 16,500円 |
ガムピーリング |
5,500円 |